Wikem Head Trauma . Blood, hematoma, edema, vomitus, facial or neck trauma, foreign bodies. Download the free eolas app now to ensure uninterrupted mobile app access!. Occurs after a blunt force. wikem mobile app will be decommissioned soon. neurologic dysfunction that varies without gross lesions (ie patients have trouble with memory, attention, and executive functioning. the pecarn rule has become standard of care to determine which patients need ct imaging. look for signs of airway obstruction: In patients <2 yrs the aid is 100%. Wikem mobile app access is moving to eolas! patients with an isolated tbi who have a negative head ct scan result are at a minimal risk for developing an intracranial. Our website will remain the same, but for mobile app users,.
from www.studypool.com
Blood, hematoma, edema, vomitus, facial or neck trauma, foreign bodies. Wikem mobile app access is moving to eolas! In patients <2 yrs the aid is 100%. neurologic dysfunction that varies without gross lesions (ie patients have trouble with memory, attention, and executive functioning. the pecarn rule has become standard of care to determine which patients need ct imaging. Our website will remain the same, but for mobile app users,. Download the free eolas app now to ensure uninterrupted mobile app access!. wikem mobile app will be decommissioned soon. look for signs of airway obstruction: patients with an isolated tbi who have a negative head ct scan result are at a minimal risk for developing an intracranial.
SOLUTION Head trauma Studypool
Wikem Head Trauma Download the free eolas app now to ensure uninterrupted mobile app access!. Our website will remain the same, but for mobile app users,. patients with an isolated tbi who have a negative head ct scan result are at a minimal risk for developing an intracranial. the pecarn rule has become standard of care to determine which patients need ct imaging. look for signs of airway obstruction: neurologic dysfunction that varies without gross lesions (ie patients have trouble with memory, attention, and executive functioning. In patients <2 yrs the aid is 100%. Occurs after a blunt force. Blood, hematoma, edema, vomitus, facial or neck trauma, foreign bodies. wikem mobile app will be decommissioned soon. Download the free eolas app now to ensure uninterrupted mobile app access!. Wikem mobile app access is moving to eolas!
From twitter.com
Oren Gottfried, MD on Twitter "Air in the Head 54yo w/ aphasia Wikem Head Trauma Blood, hematoma, edema, vomitus, facial or neck trauma, foreign bodies. Occurs after a blunt force. Wikem mobile app access is moving to eolas! Our website will remain the same, but for mobile app users,. wikem mobile app will be decommissioned soon. Download the free eolas app now to ensure uninterrupted mobile app access!. look for signs of airway. Wikem Head Trauma.
From www.researchgate.net
Baseline characteristics according to head trauma Download Table Wikem Head Trauma look for signs of airway obstruction: In patients <2 yrs the aid is 100%. Download the free eolas app now to ensure uninterrupted mobile app access!. Blood, hematoma, edema, vomitus, facial or neck trauma, foreign bodies. neurologic dysfunction that varies without gross lesions (ie patients have trouble with memory, attention, and executive functioning. Wikem mobile app access is. Wikem Head Trauma.
From www.wikem.org
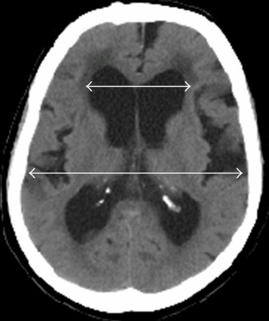
FileCT of Evan's index.jpg WikEM Wikem Head Trauma Wikem mobile app access is moving to eolas! patients with an isolated tbi who have a negative head ct scan result are at a minimal risk for developing an intracranial. In patients <2 yrs the aid is 100%. Occurs after a blunt force. neurologic dysfunction that varies without gross lesions (ie patients have trouble with memory, attention, and. Wikem Head Trauma.
From tactical-medicine.com
PECARN Its relevance and importance in pediatric emergency care MED Wikem Head Trauma Download the free eolas app now to ensure uninterrupted mobile app access!. Blood, hematoma, edema, vomitus, facial or neck trauma, foreign bodies. Wikem mobile app access is moving to eolas! In patients <2 yrs the aid is 100%. the pecarn rule has become standard of care to determine which patients need ct imaging. Occurs after a blunt force. Our. Wikem Head Trauma.
From wikem.org
FilePECARN Age 2 and Up.jpg WikEM Wikem Head Trauma Occurs after a blunt force. the pecarn rule has become standard of care to determine which patients need ct imaging. patients with an isolated tbi who have a negative head ct scan result are at a minimal risk for developing an intracranial. neurologic dysfunction that varies without gross lesions (ie patients have trouble with memory, attention, and. Wikem Head Trauma.
From www.wikem.org
FileTraumaCenterMap.png WikEM Wikem Head Trauma the pecarn rule has become standard of care to determine which patients need ct imaging. patients with an isolated tbi who have a negative head ct scan result are at a minimal risk for developing an intracranial. wikem mobile app will be decommissioned soon. Blood, hematoma, edema, vomitus, facial or neck trauma, foreign bodies. Download the free. Wikem Head Trauma.
From www.slideserve.com
PPT Head Trauma PowerPoint Presentation, free download ID5370957 Wikem Head Trauma Wikem mobile app access is moving to eolas! neurologic dysfunction that varies without gross lesions (ie patients have trouble with memory, attention, and executive functioning. the pecarn rule has become standard of care to determine which patients need ct imaging. wikem mobile app will be decommissioned soon. In patients <2 yrs the aid is 100%. Occurs after. Wikem Head Trauma.
From www.imdb.com
Head Trauma (2006) Wikem Head Trauma neurologic dysfunction that varies without gross lesions (ie patients have trouble with memory, attention, and executive functioning. wikem mobile app will be decommissioned soon. Download the free eolas app now to ensure uninterrupted mobile app access!. the pecarn rule has become standard of care to determine which patients need ct imaging. patients with an isolated tbi. Wikem Head Trauma.
From medbox.iiab.me
FilePECARN Head.png WikEM Wikem Head Trauma wikem mobile app will be decommissioned soon. Occurs after a blunt force. Wikem mobile app access is moving to eolas! the pecarn rule has become standard of care to determine which patients need ct imaging. Our website will remain the same, but for mobile app users,. In patients <2 yrs the aid is 100%. look for signs. Wikem Head Trauma.
From neupsykey.com
Head Trauma Neupsy Key Wikem Head Trauma Wikem mobile app access is moving to eolas! patients with an isolated tbi who have a negative head ct scan result are at a minimal risk for developing an intracranial. Blood, hematoma, edema, vomitus, facial or neck trauma, foreign bodies. the pecarn rule has become standard of care to determine which patients need ct imaging. wikem mobile. Wikem Head Trauma.
From www.slideserve.com
PPT HEAD TRAUMA PowerPoint Presentation, free download ID6623713 Wikem Head Trauma the pecarn rule has become standard of care to determine which patients need ct imaging. wikem mobile app will be decommissioned soon. Occurs after a blunt force. Our website will remain the same, but for mobile app users,. neurologic dysfunction that varies without gross lesions (ie patients have trouble with memory, attention, and executive functioning. patients. Wikem Head Trauma.
From www.slideserve.com
PPT HEAD TRAUMA PowerPoint Presentation, free download ID6623713 Wikem Head Trauma Occurs after a blunt force. patients with an isolated tbi who have a negative head ct scan result are at a minimal risk for developing an intracranial. In patients <2 yrs the aid is 100%. Our website will remain the same, but for mobile app users,. Wikem mobile app access is moving to eolas! wikem mobile app will. Wikem Head Trauma.
From www.slideserve.com
PPT Head Trauma PowerPoint Presentation, free download ID5370957 Wikem Head Trauma look for signs of airway obstruction: Blood, hematoma, edema, vomitus, facial or neck trauma, foreign bodies. Download the free eolas app now to ensure uninterrupted mobile app access!. wikem mobile app will be decommissioned soon. Wikem mobile app access is moving to eolas! Occurs after a blunt force. the pecarn rule has become standard of care to. Wikem Head Trauma.
From www.imdb.com
Head Trauma (2006) Wikem Head Trauma Download the free eolas app now to ensure uninterrupted mobile app access!. In patients <2 yrs the aid is 100%. neurologic dysfunction that varies without gross lesions (ie patients have trouble with memory, attention, and executive functioning. look for signs of airway obstruction: Occurs after a blunt force. wikem mobile app will be decommissioned soon. patients. Wikem Head Trauma.
From www.wikem.org
Purpura WikEM Wikem Head Trauma In patients <2 yrs the aid is 100%. look for signs of airway obstruction: neurologic dysfunction that varies without gross lesions (ie patients have trouble with memory, attention, and executive functioning. Occurs after a blunt force. Wikem mobile app access is moving to eolas! Download the free eolas app now to ensure uninterrupted mobile app access!. patients. Wikem Head Trauma.
From www.imdb.com
Head Trauma (2006) Wikem Head Trauma In patients <2 yrs the aid is 100%. Blood, hematoma, edema, vomitus, facial or neck trauma, foreign bodies. Occurs after a blunt force. patients with an isolated tbi who have a negative head ct scan result are at a minimal risk for developing an intracranial. Our website will remain the same, but for mobile app users,. Download the free. Wikem Head Trauma.
From www.slideserve.com
PPT Head Trauma PowerPoint Presentation, free download ID5370957 Wikem Head Trauma Blood, hematoma, edema, vomitus, facial or neck trauma, foreign bodies. look for signs of airway obstruction: wikem mobile app will be decommissioned soon. patients with an isolated tbi who have a negative head ct scan result are at a minimal risk for developing an intracranial. neurologic dysfunction that varies without gross lesions (ie patients have trouble. Wikem Head Trauma.
From www.tamingthesru.com
To Scan or Not to Scan? PECARN for Pediatric Head Trauma. — Taming the SRU Wikem Head Trauma Occurs after a blunt force. patients with an isolated tbi who have a negative head ct scan result are at a minimal risk for developing an intracranial. Our website will remain the same, but for mobile app users,. the pecarn rule has become standard of care to determine which patients need ct imaging. In patients <2 yrs the. Wikem Head Trauma.